歯周病とは
歯周病とは・・・
歯周病は虫歯と同じように細菌による感染症です。歯周ポケット内のプラークや歯石内に生息するバイ菌により歯を支える組織が破壊されていきます。

歯周病の治療
歯周病の治療の基本は、プラークコントロール(歯みがきの指導・ブラッシング指導)と歯周病の原因であるプラーク・歯石の除去にあります。

ブラッシング指導
基本にして最も大切なことです。個人に適した効果的なブラッシング方法を指導します。
歯石除去
歯石とは・・・
歯石は、歯垢が石灰化したものです。ハミガキにより落としきれなかった歯垢は、二日で歯石になると言われています。文字通り石のように固いため、簡単に取ることは難しくスケーリングと呼ばれる方法で除去します。また歯石自体に病原性はないとされていますが、新しい歯垢がつきやすくなるという特徴のため、歯周疾患の原因のひとつとされ、歯石除去は歯周病治療において重要です。
歯石の予防には、ハミガキが重要です。歯垢が歯石の元になるため、上手なハミガキを行うことが予防の第一歩です。
歯石の除去
一度付いてしまった歯石は、歯医者さんにお願いするのが良いでしょう。自分自身でできないことはありませんが、大変困難です。
歯石除去は、スケーリングと歯科領域では呼ばれます。スケーラーと呼ばれる金属の棒を使い削っていきます。また超音波で除去する装置もあり、あの歯石を取る際のちくちく刺さる感じがありません。

スケーリングだけでは、歯石などが取り切れないなどひどい場合には、ルートプレーニングという方法がとられます。通常、歯石除去には麻酔は使用されませんが、徹底的に歯石を除去する方法であり出血を伴うため、局所麻酔を行います。もっとも、これほどひどくなるには長い年月が必要ですので、通常はスケーリングだけで十分です。
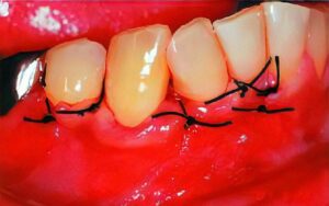
歯周外科治療
歯周病の進行した方では、歯肉を開いて歯石を除去する歯周外科手術を行うこともあります。



