口腔外科・観血処置
智歯周囲炎、智歯の埋伏歯 (親知らず)の治療
智歯(親知らず)は、全ての歯の中で一番最後に生え、第二大臼歯の後方(一番奥)に生えます。しかし正常に生えることができず、斜めに生えたり、顎の中に生えずに残ってしまうことがあります。
重度の虫歯や、智歯周囲炎、第二大臼歯の虫歯や歯周病の治療のために抜歯が必要になる場合があります。
智歯の抜歯は、生え方にもよりますが、歯肉の切開したり歯牙を分割するなど特殊な抜き方が必要なこともあるため、”親知らずを抜きたくても不安のある方”、“口腔外科医の診察を希望の方”は、ご相談ください。



矯正治療時の抜歯
矯正治療で、歯並びを整えるため抜歯が必要な場合があります。その際、周囲の歯牙を傷つけず抜歯する、歯の根を折らないなどの配慮が必要です。
移植
う蝕などで抜歯し、歯牙が欠損した部位に、親知らずなどを移植できる可能性があります。通常、歯牙が欠損した部位の治療は、ブリッジや取り外しする義歯、インプラントなどで行いますが、それを移植した歯牙により治療します。
移植が成功するにはいろいろと条件がありまので、全てのケースで移植治療が可能というわけではありません。
歯牙移植
う蝕などで抜歯した部位に親知らずなど余っている歯牙を移植し、有効に活用できることがあります。
再植
スポーツや不慮の事故、けんかなど・・・、何らかの原因で歯牙が抜け落ちてしまったり、抜けなくても位置がずれてしまった(脱臼や嵌入)場合、正しい位置に歯牙を戻し固定し治療することが可能です。
歯牙が抜けたり、抜け落ちた場合には、なるべく早く近くの歯科医院を受診し、処置を受けてください。その際には、下記の注意点があります。
- 歯牙を捨てない。再植が可能な場合がある。
- なるべく早く、近くの歯科医院を受診する。
- 口の中(もしくは牛乳)に入れて歯科医院を受診する。絶対にティッシュや布に包んではダメ。歯が乾燥してしまうと再植不可能になってしまう。



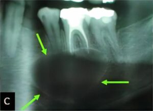
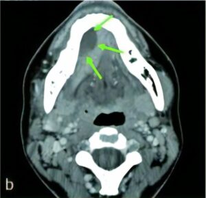
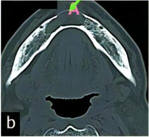
のう胞
のう胞は、何らかの理由で“水を含んだふくろ”ができてしまう病気です。特に顎骨は、のう胞ができやすいと言われています。
顎骨ののう胞では、虫歯から発生する「歯根嚢胞」が大半を占めていますが、くちびるにできる「粘液嚢胞(唾液が貯まった嚢胞)」や「含歯性嚢胞(埋伏歯にできる)」など様々な種類があります。
当科ではCT、MRI、病理組織診(良性悪性の確認検査)などの検査・診断、および治療(手術)を行っています。



炎症
歯周病やう蝕から細菌感染が、顎の骨や周囲の軟組織、リンパ節、上顎洞などにおよぶことがあります。
膿が貯まっている場合、切開し膿を出したり、抗菌薬を投与し治療します。
しかしながら、治療の基本は、十分な安静や栄養摂取ですので、家庭の環境により安静にしていられない方や、腫れや痛みで栄養が十分摂取できない場合や重度の炎症の場合には、入院治療が必要な場合があります。


腫瘍(しゅよう)
つめと髪の毛以外の組織には腫瘍が発生する可能性があり、口腔内も例外ではなく良性・悪性の腫瘍が発生します。
CT、MRI、超音波などの画像診断や、細胞診 (細胞を採取し良性悪性を診断)、病理組織診 (組織の一部を採取し良性悪性を診断) などの検査を行っています。
当院では、良性の腫瘍のみ治療を行っており、悪性腫瘍が疑われる場合、群馬大学や新潟大学などの三次医療機関をご紹介しております。
悪性腫瘍
口腔内に発生する悪性腫瘍では、扁平上皮癌という口腔内の粘膜から発生する癌が最も多いのが特徴です。その他には、唾液腺から発生するものや骨肉腫などの内部の組織から発生する悪性腫瘍もあります。
悪性腫瘍を認めた場合には、病変部も含めた全身の精密検査(全身状態、転移の有無、重複癌(他の組織に癌が発生する)の確認)が必要になります。治療には、手術、抗がん剤による化学療法、放射線療法を単独あるいは組み合わせて行います。
治療後には定期的な検査が必要になり、当院では悪性腫瘍治療を行った病院の指示の元、歯科治療を行います。
悪性腫瘍を歯周病や口内炎、義歯による傷などと思い込み、長期間放置し、腫瘍が大きくなてから歯科医院を受診するケースが多いようです。口腔内の悪性腫瘍だけに限定される話ではありませんが、早期発見・早期治療が重要です。



良性腫瘍




顎関節疾患
“顎が痛い”、“口が開かない”、“音がする”といった症状でお悩みの方へ
当院では、顎関節症の診断・治療を行っております。“音がする”、”顎が痛くて口が開かない”、”噛めない”といった症状でお悩みの方はご相談ください。
レントゲン写真、CT、MRIでの診断に対応しております。また、治療に関しては、マウスピース、薬物療法、理学療法(開口訓練・温熱療法)などを行っています。
顎関節内の洗浄療法や手術療法が必要と判断した場合には、当院の関連機関である新潟大学医歯学総合病院顎顔面外科口腔外科診療室にご紹介しています。




外傷
連携病院である沼田脳神経外科循環器科病院は、救急指定病院ということもあり、当院でも顎口腔領域の骨折や裂傷、歯牙破折や脱臼などの患者さんの治療も行っております。




奇形・変形症
唇顎口蓋裂の治療に関しては、顎の発育誘導、発音の訓練、矯正治療、手術等専門的かつ継続的な管理を必要とします。当院の関連機関である新潟大学医歯学総合病院顎顔面外科口腔外科診療室にご紹介しております。
顎変形症 (受け口などの上下の顎のバランスが悪い方や顎の変形で正しく噛み合わない) の方に関しても矯正治療と手術(顎矯正手術)が必要になる場合があります。群馬大学や新潟大学医歯学総合病院顎顔面外科口腔外科診療室にご紹介しております。
唇顎口蓋裂等の方、顎変形症の方における歯科治療(う蝕治療・歯周治療・抜歯など)は当院で行っています。
睡眠時無呼吸症候群
睡眠時に無呼吸が断続的に繰り返し起こる病気です。そのため十分な睡眠をとることができず日中の傾眠傾向(日中に眠い)や集中力の低下の原因になると言われ、睡眠時無呼吸症候群の方は健常者に比較して交通事故を起こすリスクが高いと言われています。
また、睡眠中に酸素が十分に供給されないことから血圧上昇、虚血性心疾患、糖尿病、脳血管障害など深刻な合併症を引き起こすと言われています。睡眠時無呼吸症候群の検査、および減量やCPAP(マスクによる治療)は沼田クリニック(医科)で行っております。
当科では、口腔内器具による治療の適応の患者さんに対して治療を行っています。

